Catalog NO.:BM8150
Applications :WB,IF,IP,ELISA
Reactivity :H, M, R
| 货号 | 规格 | 品牌 | 库存 | 价格 | 数量 | 操作 |
|---|---|---|---|---|---|---|
| BM8150-100 | 100ul/支 | EASYBIO |
|
|||
| BM8150-50 | 50ul/支 | EASYBIO |
|

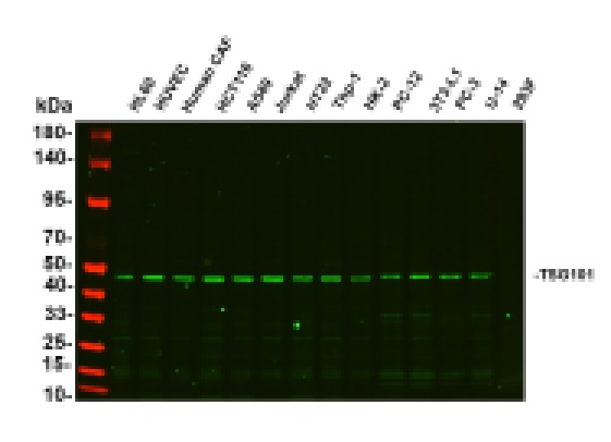
| Product Name: | TSG101 Rabbit Monoclonal Antibody |
|---|---|
| Isotype: | IgG |
| Storage Buffer : | |
| Storage instructions: | |
| Recommended dilutions: | WB 1:1000 - 1:5000 IF 1:200 - 1:1000 ELISA 1:5000 - 1:20000 IP 1:50 - 1:200 |
| Optimal dilutions should be determined by the end user. | |
| Specificity: | |
| Alternative Names: | |
| Form: | liquid |
| Reactivity: | H, M, R |
暂无参考文献!