Catalog NO.:BE3739
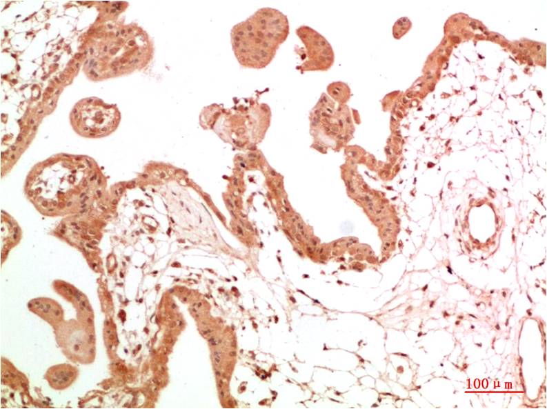
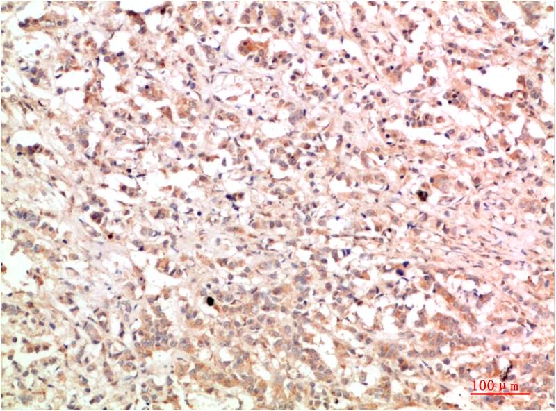
Applications :IHC
Reactivity :H,R,M
| 货号 | 规格 | 品牌 | 库存 | 价格 | 数量 | 操作 |
|---|---|---|---|---|---|---|
| BE3739-100 | 100ul | EASYBIO |
|

c-Abl protein is distributed in both the nucleus and the cytoplasm of cells. It is implicated in regulating cell proliferation, apoptosis, differentiation, cell adhesion, and stress responses.
| Product Name: | c-Abl Rabbit Polyclonal Antibody |
|---|---|
| Isotype: | IgG |
| Storage Buffer : | 1mg/ml in PBS, pH 7.4, containing 0.02% sodium azide and 50% glycerol |
| Storage instructions: | -20°C. Do not aliquot the antibody |
| Recommended dilutions: | IHC: 1:100-200 |
| Optimal dilutions should be determined by the end user. | |
| Specificity: | The c-Abl1 Rabbit Polyclonal Antibody can detects endogenous c-Ab1 proteins |
| Alternative Names: | c Ab1, c ABL,ABL1,AbI 1 |
| Form: | Liquid |
| Reactivity: | H,R,M |
暂无参考文献!